Cárie dentária: quais são as 13 lições mais importantes?
Conheça os mecanismos da cárie dentária, o papel das bactérias, a diferença entre flúor e fluoreto, a função da escovação, e outros assuntos aqui nesse post.
Conheça os mecanismos da cárie dentária, o papel das bactérias, a diferença entre flúor e fluoreto, a função da escovação, e outros assuntos aqui nesse post.
Veja aqui os dispositivos sobre a Cirurgia Estética Orofacial, a mais nova especialidade Odontológica aprovada pelo CFO.
A técnica da dupla prensagem apresentada por Dario Adolfi na estreia da sessão capítulo do mês no dia Mundial do Livro.
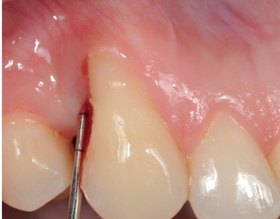
A hipersensibilidade dentinária pode ser mensurada com escalas e tratada em protocolo de sessão única. Veja mais.
As possibilidades no mundo digital são infinitas e cada vez mais acessíveis. Veja aqui os avanços que podem melhorar a rotina no seu consultório odontológico.
Os programas para combate ao tabagismo podem funcionar pela aplicação de quatro estágios: empatia, informação, motivação, ação.
A tomografia computadorizada de feixe cônico faz aniversário! Entenda a mudança de paradigma na Odontologia.
Veja aqui como são os novos critérios quantitativos que mudam a percepção da estética na prótese unitária sobre implantes.
Saiba porque a Prótese Dentária e a Endodontia são especialidades que devem ter grande desempenho nos próximos anos em função da tecnologia de imagem digital
Veja nesse post quando e como fazer o monitoramento da doença e quais índices individuais ou compostos precisam ser aplicados aumentando a confiança nos resultados